بلیچینگ داخلی دندان عصب کشی شده

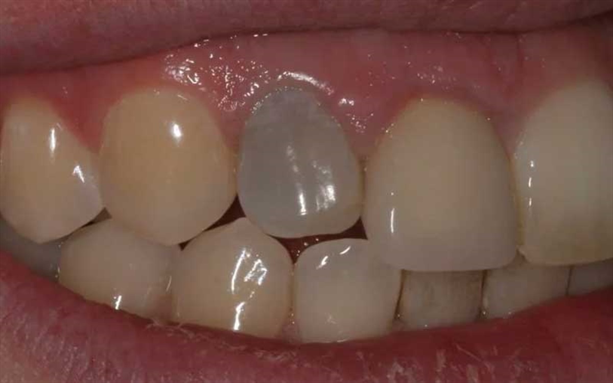
گاهی یک دندان، حتی بعد از درمان موفق ریشه یا همان عصبکشی، بهمرور زمان تیره میشود؛ درست همان دندانی که قرار بود درد را از بین ببرد، حالا لبخند را نازیبا میکند. اگر برایتان پیش آمده که بعد از عصبکشی، رنگ یکی از دندانهایتان خاکستری، زرد تیره یا متمایل به قهوهای شود، تنها نیستید. اینجاست که یک روش کمتر شناختهشده اما بسیار مؤثر وارد میدان میشود: بلیچینگ داخلی دندان عصبکشیشده.
این روش یک درمان موفق است که بر خلاف بلیچینگهای رایج که روی سطح بیرونی دندان کار میکنند، مستقیماً به ریشه مشکل میپردازد. اگر میخواهید بدانید چرا این تیرگی اتفاق میافتد و چگونه میتوان آن را برای همیشه برطرف کرد، این مقاله برای شما نوشته شده است. ما نه تنها به این پرسش کلیدی پاسخ میدهیم که بلیچینگ داخلی دندان چیست؟ بلکه از مزایا، چگونگی انجام کار، چالشهای آن و مهمتر از همه، هزینه بلیچینگ داخلی دندان صحبت خواهیم کرد تا با آگاهی کامل برای لبخندی روشنتر قدم بردارید.
بلیچینگ داخلی دندان چیست؟
ما معمولاً وقتی از سفید کردن دندان یا بلیچینگ دندان صحبت میکنیم، به یاد ژلهایی میافتیم که روی سطح بیرونی دندان قرار میگیرند (بلیچینگ خارجی). اما بلیچینگ داخلی دندان عصب کشی شده یک تکنیک تخصصی دندانپزشکی زیبایی است که منحصراً برای دندانهایی به کار میرود که قبلاً عصبکشی شدهاند و دچار تغییر رنگ داخلی شدهاند. به عبارت دیگر، این فرآیند از درون دندان عمل میکند، نه از بیرون آن.
وقتی دندانی عصبکشی میشود، پالپ (بافت زنده داخل دندان) برداشته شده و فضای داخلی با مواد پر میشود. باقیماندن رنگدانههای خونی، مواد دارویی قدیمی یا حتی خونریزیهای میکروسکوپی داخل عاج دندان میتواند به مرور باعث تغییر رنگ شود. بلیچینگ خارجی در این موارد عملاً بیاثر است. این روش:
- فقط روی دندانهای عصبکشیشده انجام میشود.
- ساختار دندان را حفظ میکند.
- نیازی به تراش گسترده مثل لمینت یا روکش ندارد.
تصورات غلط رایج و نکات ایمنی در مورد بلیچینگ داخلی دندان عصب کشی شده
1- چرا دندان عصبکشی شده تیره میشود؟ یکی از تصورات غلط رایج این است که دندان عصبکشی شده مرده است و به همین دلیل تیره میشود. این کاملاً درست نیست. در واقع، دندان هنوز زنده است، اما عصب و عروق خونی آن برداشته شدهاند. تیرگی معمولاً به دلایل زیر رخ میدهد:
- باقیماندن بافت پالپ: اگر بخشی از بافت عصب یا خون در حفره پالپ باقی بماند، تجزیه میشود و محصولات جانبی آن به عاج دندان نفوذ کرده و رنگدانههای قهوهای یا خاکستری ایجاد میکنند.
- مواد پرکننده قدیمی: برخی از مواد پرکننده ریشه قدیمی، مانند آمالگام یا مواد حاوی اکسید آهن، میتوانند به مرور زمان رنگ دندان را تغییر دهند.
- میکروترکها و آسیبها: دندانهایی که آسیب دیدهاند یا به طور مکرر ترمیم شدهاند، ممکن است مستعد تغییر رنگ باشند.
بلیچینگ داخلی در واقع، راهحلی است که برای مقابله با این رنگدانههای نفوذ کرده به عمق ساختار دندان طراحی شده است.
2- آیا بلیچینگ داخلی به دندان آسیب میزند؟ یکی از بزرگترین نگرانیها این است که آیا این فرآیند به ریشه دندان آسیب میرساند یا خیر. اگرچه استفاده نامناسب یا عدم محافظت دقیق از ریشه میتواند منجر به عوارضی مانند تحلیل ریشه خارجی، شود؛ اما زمانی که این درمان توسط یک دندانپزشک ماهر و با استفاده از تکنیکهای دقیق (مانند ایجاد سد محافظ) انجام شود، کاملاً ایمن و قابل اعتماد است.
مطالعات متعددی، از جمله تحقیقات منتشر شده در ژورنالهای معتبر جهانی مانند Journal of Endodontics (J. Endod)، کارایی و ایمنی این روش را تأیید میکنند، مشروط بر آنکه پروتکلهای استاندارد رعایت شوند. این یک روش اثبات شده در دندانپزشکی ترمیمی است.
مزایای بلیچینگ داخلی؛ چرا این روش محبوب شده است؟
از دیدگاه بالینی و تجربه بیماران مزایای زیر را دارا میباشد:
- حفظ حداکثری بافت دندان
- بدون نیاز به تراش و قالبگیری
- هزینه کمتر نسبت به لمینت و روکش
- نتیجه طبیعی (نه سفید گچی)
- قابل تکرار در صورت نیاز
برای بسیاری از بیماران، این روش اولین انتخاب قبل از درمانهای تهاجمیتر است.
معایب و محدودیتهای بلیچینگ داخلی دندان
بیایید واقعبین باشیم، هیچ روش درمانی بینقص نیست. بلیچینگ داخلی هم محدودیتهایی دارد که عبارتند از:
- روی همه دندانها نتیجه یکسان نمیدهد.
- ممکن است نیاز به تکرار داشته باشد.
- در دندانهایی با ترک یا ترمیمهای وسیع مناسب نیست.
- به مهارت دندانپزشک وابسته است.
- در برخی موارد خاص، روکش یا ونیر همچنان انتخاب بهتری است.
مراحل اصلی فرآیند تخصصی بلیچینگ داخلی
فرآیند معمولاً در ۲ تا ۳ جلسه انجام میشود:
- دسترسی: دندانپزشک مجدداً حفرهای را که برای عصبکشی ایجاد شده بود، باز میکند.
- محافظت از ریشه: در این مرحله حیاتی، یک سد محافظ (مانند گلاس آینومر) در ناحیه ورودی ریشه (پالپ چمبر) قرار داده میشود تا از نشت مواد بلیچینگ به کانال ریشه و لثهها جلوگیری شود.
- تزریق ماده بلیچینگ: دندانپزشک با دقت کامل، ماده بلیچینگ داخلی را به فضای خالی داخل تاج دندان تزریق میکند.
- زماندهی و نتایج: این ژل یا با یک پرکننده موقت بسته میشود و برای چند روز تا یک هفته در داخل دندان باقی میماند تا کار سفید کردن را انجام دهد (روش Walking Bleach) یا با استفاده از نور یا حرارت فعال میشود (روش سریعتر).
هزینه بلیچینگ داخلی دندان
یکی از سؤالات پرتکرار و مهم برای هر بیمار، در مورد قیمت بلیچینگ داخلی دندان است. باید در نظر داشت که این هزینه یک سرمایهگذاری برای بازگرداندن زیبایی و اعتماد به نفس است. قیمت بلیچینگ داخلی دندان به عوامل متعددی بستگی دارد که باید برای برآورد دقیق در نظر گرفته شوند:
- شدت تغییر رنگ: هرچه تیرگی دندان بیشتر و قدیمیتر باشد، ممکن است به جلسات بیشتری نیاز باشد که مستقیماً بر هزینه بلیچینگ داخلی دندان تأثیر میگذارد.
- نوع مواد استفاده شده: استفاده از ژل بلیچینگ داخلی یا محصولات با کیفیت بالاتر، مانند بلیچینگ داخلی اولترادنت، ممکن است کمی هزینه را افزایش دهد، اما معمولاً نتایج بهتر و طولانیمدتتری به همراه دارد.
گاهی اوقات، نیاز به ترمیم یا تعویض پرکننده قدیمی ریشه نیز وجود دارد که به هزینه نهایی اضافه میشود. همچنین قیمت بلیچینگ داخلی دندان بهمراتب کمتر از لمینت یا روکش تمامسرامیک است و همین موضوع آن را به گزینهای اقتصادی تبدیل کرده است.

ماده بلیچینگ داخلی
ماده مورد استفاده نقش کلیدی در نتیجه دارد که معمولاً از ترکیبات زیر استفاده میشود:
- سدیم پربورات
- هیدروژن پراکسید با غلظت کنترلشده
- ژلهای آماده برندهای معتبر
ژل بلیچینگ داخلی اولترادنت یکی از گزینههایی است که بهدلیل کنترل بهتر pH و ایمنی بالاتر، در بسیاری از کلینیکهای پیشرفته استفاده میشود.
بلیچینگ داخلی، درمانی موثر برای یک لبخند روشن:
لبخند، چیزی فراتر از زیبایی است؛ بخشی از هویت ماست. اگر یک دندان تیرهشده باعث شده موقع خندیدن دستتان را جلوی دهان بگیرید، شاید وقتش رسیده به راهحلهای علمی و کمتهاجمی فکر کنید.
اگر بخواهیم جمعبندی کنیم:
- دندان عصبکشیشده دارید؟
- رنگ آن تیره شده؟
- ساختار دندان سالم است؟
احتمالاً بلیچینگ داخلی دندان عصبکشیشده بهترین، کمهزینهترین و محافظهکارانهترین انتخاب شماست. اما برای درک بهتر تفاوتها و آشنایی کامل با روشهای سفید کردن دندان، مطالعه راهنمای جامع بلیچینگ دندان چیست؟ میتواند دید دقیقتری به شما بدهد.














